ISSN - 0973-0958

Pediatric Oncall Journal

Central Nervous System Malformations: A Five-Year Retrospective Study 12/06/2025 00:00:00 https://www.pediatriconcall.com/Journal/images/journal_cover.jpg

Central Nervous System Malformations: A Five-Year Retrospective Study

Mariana Gouveia Lopes1, Beatriz Figueiredo2, Catarina Faria Tavares, Marta Carvalho3, Raquel Henriques4.
1Department of Paediatrics, ULS da Região de Leiria, Leiria, Portugal,
2Department of Obstetrics, ULS de Coimbra, Coimbra, Portugal,
3Department of Paediatrics, ULS Baixo Mondego, Figueira da Foz, Portugal,
4Department of Neonatology, ULS de Coimbra, Coimbra, Portugal.

ADDRESS FOR CORRESPONDENCE
Mariana Gouveia Lopes, Leiria, 2410-197, Portugal.
Email: mglopes795@gmail.com
Abstract
Introduction: Central nervous system (CNS) malformations are congenital anomalies with neurodevelopmental impact, posing challenges for care planning and family counseling. This study to characterize newborns with CNS malformations born between January 1, 2018, and December 31, 2022, in a level maternity hospital.
Methods: A retrospective descriptive study included newborns with CNS malformations born between January 1, 2018, and December 31, 2022. Demographic data, malformation type, timing of diagnosis, associated conditions, and follow-up were analyzed. Statistical analysis was performed using SPSS® v.29.
Results: Twenty newborns were included (14 female). Ventriculomegaly was the most common malformation in 15 cases. Other anomalies included one case each of mega cisterna magna, agenesis of the corpus callosum, occipital encephalocele, agenesis of the septum pellucidum, and periventricular heterotopia. Three newborns were preterm. Prenatal diagnosis occurred in 17 cases (median 27 weeks). Fetal MRI, performed in 3 cases, confirmed ultrasound findings. All newborns received developmental follow-up with referrals as needed. Genetic testing identified trisomy 21 in one infant and a paternal chromosome 15 deletion in another. Among children without a genetic diagnosis, four showed neurodevelopmental abnormalities at 24 months: two with ventriculomegaly (one with GDD and hearing loss, one with GDD), one with periventricular heterotopia (motor delay), and one with corpus callosum agenesis (motor delay).
Conclusion: Ventriculomegaly was the most frequent malformation, and most mild or moderate cases had normal neurodevelopment at 24 months. Motor delay occurred in two children. These findings highlight the importance of multidisciplinary follow-up for intervention and family counseling.
 
Keywords
Congenital CNS malformations, Prenatal imaging, Neurodevelopmental outcomes
 
Introduction
Central nervous system (CNS) malformations are a major group of congenital anomalies, representing the second most frequent cause after cardiac defects.1,2 Their prevalence ranges from 1 to 10 per 1,000 live births1, influenced by regional and socioeconomic factors.3
CNS development involves a complex sequence of processes, neural tube formation, prosencephalic development, neuroblastic proliferation, cortical organization, and myelination.2 This period is highly vulnerable to disruptions, with the type of malformation depending on the developmental stage at which the interference occurs.2
These malformations are often associated with motor and sensory delay, intellectual disability, cerebral palsy, epilepsy, autism spectrum disorders, and visual or hearing deficits, and in severe cases may be life-threatening.4 In the neonatal period, common signs include hypotonia, feeding difficulties, and seizures.2
Prenatal diagnosis is usually achieved through imaging, mainly ultrasound and fetal MRI.1 Fetal MRI is particularly useful to clarify sonographic suspicions or when ultrasound quality is limited by maternal obesity, oligohydramnios, or fetal position.5 Its main indications in suspected CNS malformations include ventriculomegaly, corpus callosum abnormalities, posterior fossa defects, and cortical malformations.5 In these cases, TORCH infections must be excluded, and genetic testing performed when clinically indicated.2
Early diagnosis is crucial, as it enables intervention planning during pregnancy and appropriate neonatal preparation, including immediate surgical or therapeutic measures when needed.5 Prenatal counseling is challenging for clinicians and families. In severe cases, continued pregnancies may lead to newborns requiring prolonged intensive care, surgery, and long-term medical and rehabilitative follow-up, with major emotional and social impact on families.1,6

Objective
The aim of this study was to describe and analyze CNS malformations in newborns delivered at a level III maternity hospital over a five-year period, from January 2018 to December 2022.

 
Methods
This was a descriptive, observational study with retrospective data collection of children diagnosed prenatally or postnatally with CNS malformations.
Demographic and clinical variables were analyzed, including prenatal and postnatal diagnosis, age at diagnosis, timing of postnatal imaging studies, associated CNS and extra-CNS malformations, and follow up.
 
Results
A total of 20 newborns were identified, of whom 14 (70%) were female. The median maternal age was 32.5 years (IQR: 29.5–36), and the median paternal age was 35.5 years (IQR: 30.3–39). The observed incidence of CNS malformations was 2 cases per 10,000 live births. The CNS malformations identified included 15 cases of ventriculomegaly, one case of megacisterna magna (MCM), one case of agenesis of the corpus callosum (ACC), one case of agenesis of the septum pellucidum (ASP), one case of ventriculomegaly with suspected corpus callosum hypoplasia, later confirmed postnatally as periventricular heterotopia (PH), and one case of atretic cephalocele (AC).
No family history of CNS malformations was reported.
Half of the cases (10; 50%) were delivered by cesarean section, five (25%) by spontaneous vaginal delivery, and five (25%) by assisted vaginal delivery. The median gestational age was 39 weeks (IQR: 38–39). Three newborns (15%) were preterm (29, 30, and 33 weeks): two with ventriculomegaly and one with ACC. Maternal infectious serologies were normal. One case involved insulin-treated gestational diabetes and maternal cannabis use, corresponding to the infant with ASP.
Four newborns required NICU admission: the three preterm infants and one term infant with suspected sepsis, later diagnosed with ASP.
A prenatal CNS malformation diagnosis was made in 17 cases (85%), with a median gestational age of 27 weeks (IQR: 23.5–30.0). All newborns with a prenatal diagnosis underwent postnatal cranial ultrasound. Three malformations were diagnosed postnatally: a ventriculomegaly in a 29-week preterm infant admitted to the NICU without hemorrhage, an atretic cephalocele, and one ASP prompted by macrocrania.
Fetal MRI was performed in three cases. It confirmed the ultrasound suspicion of ACC and revealed no additional anomalies. The remaining two corresponded to ventriculomegaly—one severe and one associated with dilation of the suprapineal recess—suggesting a possible but unconfirmed obstructive etiology (Figures 1-3).

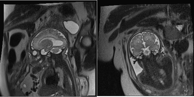
Figure 1. Colpocephalic dilatation of the left ventricle.
<b>Figure 1.</b> Colpocephalic dilatation of the left ventricle.


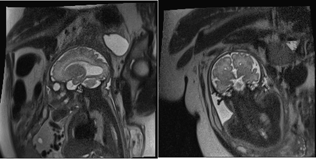
Figure 2. Complete agenesis of the corpus callosum associated with bilateral colpocephalic ventriculomegaly.
<b>Figure 2.</b> Complete agenesis of the corpus callosum associated with bilateral colpocephalic ventriculomegaly.


Figure 3. Colpocephalic dilatation of the left ventricle and significant loss of white matter volume in the ipsilateral temporo-occipital region.
<b>Figure 3.</b> Colpocephalic dilatation of the left ventricle and significant loss of white matter volume in the ipsilateral temporo-occipital region.


The median age at first postnatal cranial ultrasound was 2 days (IQR: 1-2). This evaluation showed complete resolution of prenatal findings in nine cases (eight ventriculomegaly, one MCM). In the remaining eight, ultrasound findings matched the prenatal abnormalities.
Two postnatal MRIs were performed: in the ASP case, MRI on day 11 confirmed the diagnosis with no additional malformations; in the ventriculomegaly case with suspected callosal hypoplasia, MRI at 7 months identified periventricular heterotopia.
Median head circumference at birth was 35.3 cm (IQR: 32.5–35.9; 50th percentile). Six infants, five with ventriculomegaly and one with ASP, had macrocephaly (>90th percentile). One ventriculomegaly case had microcephaly (<10th percentile).
Extracerebral malformations were identified in three cases: one ventriculomegaly case with a patent ductus arteriosus (PDA) and right ventricular trabeculation; another with isolated PDA; and the ASP case, which had a restrictive atrial septal defect and an apical muscular ventricular septal defect.
No neonatal hypertonia or hypotonia was observed. Three newborns, the preterm infants born at 29, 30, and 33 weeks (two with ventriculomegaly and one with ACC), required NICU admission.
The genetic analysis identified trisomy 21 in a newborn with bilateral moderate ventriculomegaly and a paternal-origin chromosome 15 deletion in the newborn with ASP. Among children without a genetic diagnosis, four showed neurodevelopmental abnormalities at 24 months: one case of mild ventriculomegaly with global developmental delay (GDD) and hearing loss in a premature infant; one case of mild ventriculomegaly with isolated GDD; one case of PH with motor delay; and one case of ACC with motor delay.
All infants were enrolled in developmental follow-up programs and referred to subspecialties and physical and/or occupational therapy when needed. They all underwent routine ophthalmologic and ENT evaluations. The ASP case was followed by endocrinology. No cases of cerebral palsy or epilepsy were observed during follow-up. Table I and Table II provide a detailed summary of all cases.

Table 1. Individual description of ventriculomegaly cases (n = 15).
Case Sex GA at birth (weeks) Severity Lateralization Prenatal/Postnatal diagnosis Fetal MRI Postnatal imaging Associated findings Outcome/Follow-up
1 M 38 Moderate Bilateral Prenatal 21 weeks No Resolution trisomy 21 Normal developement
2 F 39 Mild Bilateral Prenatal 30 weeks No Resolution None Normal developement
3 F 39 Mild Bilateral Prenatal 25 weeks No Resolution None Normal developement
4 F 40 Mild Bilateral Prenatal 28 weeks No Persistent None GDD + hearing loss
5 F 41 Moderate Left Prenatal 23 weeks No Persistent None Normal developement
6 M 38 Mild Left Prenatal 24 weeks No Resolution Macrocephaly Normal developement
7 M 39 Mild Left Prenatal weeks No Resolution None Isolated GDD
8 M 30 Mild Bilateral Prenatal 26 weeks No Resolution Macrocephaly Normal developement
9 F 29 --- Bilateral Postnatal No Persistent Macrocephaly Normal developement
10 F 40 Mild Bilateral Prenatal 28 weeks No Persistent PDA trabeculated RV Normal developement
11 F 39 Mild Bilateral Prenatal 30 weeks No Resolution Macrocephaly Normal developement
12 F 38 Severe Left Prenatal 35 weeks Yes Persistent Macrocephaly Normal developement
13 M 38 Moderate Left Prenatal 31 weeks No Persistent None Normal developement
14 F 39 Mild Bilateral Prenatal 30 weeks No Resolution Macrocephaly Normal developement
15 F 38 Mild Bilateral Prenatal 26 weeks Yes Persistent Isolated PDA Normal developement
GA: Gestational age; GDD: Global developmental delay; PDA: Patent ductus arteriosus; RV: right ventricle


Table 2. Individual description of other CNS malformations (n = 5).
Case Diagnosis Sex GA at birth (weeks) Prenatal/ Postnatal diagnosis Other CNS malformations Postnatal imaging Genetic analysis Associated findings Outcome/Follow-up
16 MCM F 39 Prenatal 27 weeks none Resolution - None Normal developement
17 ACC F 33 Prenatal 31 weeks Ventriculomegaly Persistent del(15) None Motor delay
18 PH F 39 Prenatal 22 weeks Ventriculomegaly Persistent - None Motor delay
19 ASP F 38 Postnatal   Persistent - Macrocephaly
Restrictive ASD
Apical muscular VSD.
Normal developement
20 AC M 40 Postnatal   Persistent - None Normal developement
ACC: agenesis of corpus callosum; AC: atretic cephalocele; ASP: agenesis of septum pellucidum; ASD: atrial septal defect; del(15): chromosome 15 deletion; GDD: global developmental delay; MCM: megacisterna magna; PH: Periventricular Heterotopia; RV: right ventricle; VSD: ventricular septal defect.
 
Discussion
Ventriculomegaly
In this study, 15 cases of ventriculomegaly were identified, making it the most frequently observed malformation. Ventriculomegaly is defined as dilation of the fetal cerebral ventricles and is a relatively common finding on prenatal ultrasound between 18 and 24 weeks of gestation7,8, with an estimated incidence of approximately 2 per 1,000 live births.8,9 It is classified according to the ventricular diameter as mild (10-12 mm), moderate (13-15 mm), or severe (≥16 mm), and may present as unilateral or bilateral. The unilateral form occurs in 50–60% of cases, whereas the bilateral form accounts for 40-50%.8,10 In the present study, unilateral ventriculomegaly was observed in four cases, representing a lower proportion than previously reported in the literature.
Mild ventriculomegaly is typically more prevalent in male fetuses, representing approximately 65-75% of cases.7 However, this pattern was not observed in our cohort, as mild cases were more frequent among female fetuses.
The etiology of ventriculomegaly is multifactorial and may result from anatomical variants, structural CNS abnormalities, congenital infections, or genetic alterations.10 In this study, no abnormalities in infectious serologies or genetic syndromes were identified. Among the most frequent genetic causes are trisomy 18 and trisomy 1311. Commonly associated CNS anomalies include agenesis of the corpus callosum, Dandy–Walker malformation, aqueductal stenosis, neural tube defects, cortical malformations, and heterotopia. In the absence of other abnormalities, ventriculomegaly is classified as isolated.7,10
Mild ventriculomegaly often resolves spontaneously, particularly after the second trimester.12 In the present series, the first postnatal cranial ultrasound demonstrated resolution of prenatal findings in eight cases, consistent with previously published data.
The degree of ventricular dilation has a direct influence on prognosis. In mild and isolated forms, the outcome is generally favorable, with over 90% of newborns achieving normal development.7,13 In moderate isolated cases, the risk of adverse outcome is higher, with normal development reported in 75–93% of cases.7,14 Severe ventriculomegaly is frequently associated with a poor prognosis, particularly when other cerebral or systemic anomalies coexist.7 These findings align with our results, as the majority of cases were mild (10 mild, 4 moderate, and 1 severe), which may explain the overall favorable evolution observed.
Among these children, with the exception of the one diagnosed with trisomy 21, two presented neurodevelopmental abnormalities at 24 months of age: one case of mild ventriculomegaly with global developmental delay (GDD) and hearing loss, and one case of mild ventriculomegaly with isolated GDD. Fetal magnetic resonance imaging was performed in two cases, confirming the ultrasound diagnosis of ventriculomegaly. Only one child underwent genetic evaluation, which revealed trisomy 21.

Agenesis of the Septum Pellucidum
The septum pellucidum (SP) is a thin, vertical, membranous structure formed during fetal development from two laminae that develop along the midline, separating the lateral cerebral ventricles.15
Partial or complete agenesis of the SP is a rare brain anomaly, occurring in approximately 2 to 3 cases per 100,000 live births.16,17 In most cases, the agenesis is congenital and often occurs in association with other malformations, such as agenesis of the corpus callosum, ventriculomegaly, hydrocephalus, or Chiari type II malformation.15,16
It may also be part of the spectrum of septo-optic dysplasia (SOD).18 SOD is a heterogeneous syndrome defined by the variable association of hypoplasia of one or both optic nerves, agenesis of the SP, and/or endocrine deficiency secondary to pituitary hypoplasia.15 It is estimated that 25-27% of cases of SP agenesis diagnosed prenatally are later confirmed as SOD after postnatal evaluation. Therefore, comprehensive clinical, laboratory, and imaging assessments are essential after birth to confirm or exclude this diagnosis.17
Agenesis or malformation of the SP may be associated with seizures and developmental delay, with potential cognitive, motor, and social repercussions.15,16 However, in the absence of other malformations, isolated SP agenesis generally carries a favorable prognosis. Conversely, when associated with additional anomalies, there is at least a 50% risk of neurological developmental impairment, visual deficits, or hormonal dysfunction.18
In the present study, we identified one case of SP agenesis in a female infant, with diagnosis confirmed on day 11 of life through brain MRI, which demonstrated absence of the SP with no other associated malformations. The patient was followed by endocrinology and was discharged after normal clinical and laboratory evaluation. At two years of age, formal psychomotor developmental assessment showed no motor or intellectual abnormalities.

Mega Cisterna Magna
The cisterna magna (CM) is a large subarachnoid space located in the posterior fossa, dorsal to the medulla oblongata and caudal to the cerebellum. It communicates with the fourth ventricle and plays an important role in cerebrospinal fluid (CSF) drainage.19 Mega cisterna magna (MCM) is a posterior fossa malformation that occurs during embryogenesis and is characterized by an increased anteroposterior diameter of the CM (≥10 mm), in the absence of hydrocephalus and with preservation of the cerebellar vermis.19,20 In some cases, it may represent only an anatomical variant with no clinical significance.19 Diagnosis is typically made during the second half of gestation by routine ultrasound, although it may occasionally be established only in the postnatal period.21 Spontaneous regression during pregnancy has also been reported.22
In the present study, one case of MCM was identified. The diagnosis was made during the second trimester (27 weeks of gestation), and postnatal cranial ultrasound performed on day seven demonstrated spontaneous resolution. Although some studies suggest a higher prevalence among male fetuses22, in this study the case occurred in a female newborn.
MCM may occur as an isolated finding or in association with other CNS malformations, and it has been linked to an increased risk of chromosomal abnormalities, particularly trisomy 1821. Additional structural anomalies have been reported, most commonly congenital heart defects (38%), ventriculomegaly (32%), limb anomalies (28%), and craniofacial abnormalities (26%).19
As MCM is a rare condition, data on its prognosis are limited. The literature reports both normal and delayed developmental outcomes.19,20,21 In a cohort of 123 children followed up to two years of age, those with isolated MCM showed mild difficulties in gross motor and adaptive skills compared with controls, whereas children with non-isolated MCM (associated with other CNS malformations) exhibited significantly lower scores in gross and fine motor skills, adaptation, language, and social behavior domains.19 In our study this child showed no developmental abnormalities at two years of age.

Periventricular Heterotopia
Heterotopias are malformations of cortical development resulting from abnormal neuronal migration, in which neurons fail to reach their appropriate cortical destination during brain formation.23,24 They are classified into three main types according to their location: periventricular nodular heterotopia (PNH), subcortical heterotopia, and leptomeningeal heterotopia. PNH is the most common form and is characterized by nodules of ectopic neurons along the walls of the lateral ventricles, with wide variability in number, size, shape, and distribution.23,24
In the present study, one case of heterotopia was identified. The initial prenatal diagnosis, performed at 22 weeks of gestation, indicated ventriculomegaly with suspected corpus callosum hypoplasia. Postnatal cranial ultrasound demonstrated resolution of the ventriculomegaly, although suspicion of corpus callosum hypoplasia persisted. This finding prompted the performance of a brain magnetic resonance imaging (MRI) at seven months of age, which revealed a left-sided periventricular heterotopia. Due to the known association with epilepsy, an electroencephalogram (EEG) was performed, yielding normal results.
Heterotopias have an estimated prevalence of 0.48% in the general pediatric population.25 They may occur in isolation or in association with other brain malformations25, such as anomalies of the corpus callosum, ventriculomegaly, cerebellar vermis hypoplasia, and polymicrogyria.26 Bilateral and symmetrical forms are more common in females and may follow an inherited pattern associated with FLN1 gene mutations.26 In this study, the case occurred in a female patient with unilateral PNH and no known genetic mutations.
The clinical manifestations of heterotopia are heterogeneous and may include developmental delay, intellectual disability, epilepsy, and systemic malformations such as cardiac anomalies.23,26 Epilepsy is a particularly relevant clinical feature in patients with PNH, especially in unilateral cases, which typically present with frequent focal seizures and have a higher prevalence in females.23 In the present case, no epileptic events had been observed at the time of the most recent follow-up.
Patients without additional cortical abnormalities generally exhibit normal intellectual development, whereas the coexistence of other malformations may result in developmental delay of variable severity.23 In this case, formal developmental assessment revealed motor developmental delay.

Agenesis of the Corpus Callosum
The corpus callosum (CC) is a major cerebral structure composed of a large bundle of nerve fibers connecting the two cerebral hemispheres. It develops between the 10th and 20th weeks of gestation and plays a key role in interhemispheric communication, facilitating the coordination of motor, sensory, and cognitive functions, as well as higher processes such as abstract reasoning, executive functioning, language, and social interaction.27
The reported prevalence varies among studies, ranging from 0.3% to 0.7% in the general population and from 2% to 3% among individuals with developmental disorders.27
These anomalies may occur in isolation or as part of genetic syndromes and are associated with chromosomal abnormalities, monogenic mutations, or, less frequently, metabolic disorders such as maternal diabetes. They may also result from infectious, ischemic, or teratogenic causes.28,29 Approximately 46% of ACC cases present with associated brain findings, while extracerebral anomalies—most frequently cardiac and genitourinary—are reported in about 60% of cases.29
In the present study, one case of ACC was identified in a female infant. The prenatal diagnosis was made by ultrasound at 31 weeks of gestation, revealing complete agenesis associated with moderate bilateral ventriculomegaly. Fetal magnetic resonance imaging confirmed the absence of the corpus callosum and the presence of moderate bilateral ventriculomegaly. Genetic testing identified a paternally derived deletion on chromosome 15.
Clinical outcomes in ACC cases are highly variable, ranging from asymptomatic presentations to varying degrees of neurological impairment. A meta-analysis showed that approximately two-thirds of children with isolated ACC have normal developmental outcomes.30 The presence of extracerebral anomalies is associated with a poorer prognosis, while isolated cases tend to have more favorable outcomes.27 In the present case, the child exhibited mild motor developmental delay.

Atretic Cephalocele
Atretic cephalocele is a neural tube defect that presents as small, subcutaneous midline nodules containing meninges, fibrous tissue, and dysplastic brain tissue.31,32 Diagnosis is usually made prenatally or within the first weeks of life33, typically upon identification of a scalp lesion.31 The lesion appears cystic, and palpation often reveals an underlying bone defect. It is covered by intact skin and may be associated with localized alopecia or hypertrichosis.31 Lesion size may increase during Valsalva maneuvers, such as crying or straining, if there is communication with the subarachnoid space or ventricles and palpation may be painful.33
The pathogenesis remains uncertain, with both genetic and environmental factors proposed.33 AC can occur in isolation or in association with congenital syndromes and other CNS anomalies, such as corpus callosum agenesis, heterotopias, ventriculomegaly, developmental delay, epilepsy, and visual impairment. Extracerebral malformations may also be present.33,34
Prognosis primarily depends on the presence and extent of associated cerebral abnormalities. Clinical presentation varies widely, ranging from normal development to severe global delay, particularly when other malformations coexist.31 Management may include clinical observation or surgical intervention, the latter indicated for histopathological confirmation, aesthetic correction, or treatment of skin lesions, infections, or pain. In asymptomatic cases, regular clinical monitoring is generally the preferred approach.33
In the present study, one case of AC was identified in a male infant diagnosed postnatally after observation of a small scalp lesion, confirmed by ultrasound on the first day of life. The child underwent surgical excision at four months of age. Formal developmental assessment performed during specialized follow-up revealed no developmental abnormalities.
 
Conclusion
The increasing use of high-resolution obstetric ultrasound and fetal magnetic resonance imaging has enabled earlier detection of CNS malformations, facilitating more effective prenatal management and reducing the incidence of severe cases at birth. The incidence observed in this study, 1.8 per 1,000 live births, is consistent with the literature. Most malformations were mild, isolated, and compatible with life, with ventriculomegaly being the most frequent finding, generally associated with favorable prognosis and normal neuropsychomotor development. Only a few cases demonstrated neurodevelopmental or motor delay.
These findings reinforce the importance of systematic prenatal monitoring, comprehensive neonatal evaluation, and multidisciplinary follow-up, allowing timely interventions and appropriate family counseling.
 
Compliance with Ethical Standards
Funding None
 
Conflict of Interest None
 
  1. Aydın E, Tanacan A, Büyükeren M, Uçkan H, Yurdakök M, Beksaç MS. Congenital central nervous system anomalies: Ten-year single center experience on a challenging issue in perinatal medicine. J Turk Ger Gynecol Assoc. 2019;20(3):170-177. doi:10.4274/jtgga.galenos.2018.2018.0079.  [CrossRef]  [PubMed]  [PMC free article]
  2. Pinar H, Tatevosyants N, Singer DB. Central nervous system malformations in a perinatal/neonatal autopsy series. Pediatr Dev Pathol. 1998;1(1):42-48. doi:10.1007/s100249900005.  [CrossRef]  [PubMed]
  3. Sani RM, Roufai HMM, Ibrahim GT, Amadou HA, Beranger HSS. Risk factors associated with congenital central nervous system abnormalities in the National Hospital of Zinder, Niger. Neurochirurgie. 2024;70(2):101547. doi:10.1016/j.neuchi.2024.101547.  [CrossRef]  [PubMed]
  4. Gaitanis J, Tarui T. Nervous system malformations. Continuum (Minneap Minn). 2018;24(1):72-95. doi:10.1212/CON.0000000000000561.  [CrossRef]  [PubMed]  [PMC free article]
  5. Hernandez NE, Lu VM, Altman N, Ragheb J, Niazi TN, Wang S. Incidence, follow-up, and postnatal clinical progress of children with central nervous system anomalies on fetal MRI. J Neurosurg Pediatr. 2022;30(2):160-168. doi:10.3171/2022.4.PEDS2269.  [CrossRef]  [PubMed]
  6. Garel C, Moutard ML. Main congenital cerebral anomalies: how prenatal imaging aids counseling. Fetal Diagn Ther. 2014;35(4):229-239. doi:10.1159/000358519.  [CrossRef]  [PubMed]
  7. Society for Maternal-Fetal Medicine (SMFM). Fox NS, Monteagudo A, Kuller JA, Craigo S, Norton ME. Mild fetal ventriculomegaly: diagnosis, evaluation, and management. Am J Obstet Gynecol. 2018;219(1):B2-B9. doi:10.1016/j.ajog.2018.04.039.  [CrossRef]  [PubMed]
  8. Alluhaybi AA, Altuhaini K, Ahmad M. Fetal ventriculomegaly: a review of literature. Cureus. 2022;14(2):e22352. doi:10.7759/cureus.22352.  [CrossRef]
  9. Zamłyński M, Grokhovska M, Surányi A, Olejek A. Current diagnostic, counseling, and treatment options in non-severe and severe apparently isolated fetal ventriculomegaly. Biomedicines. 2024;12(12):2929. doi:10.3390/biomedicines12122929.  [CrossRef]  [PubMed]  [PMC free article]
  10. Ali F, Gurung F, Nanda S, et al. Perinatal and neurodevelopmental outcomes of fetal isolated ventriculomegaly: a systematic review and meta-analysis. Transl Pediatr. 2024;13(4):555-574. doi:10.21037/tp-23-548.  [CrossRef]  [PubMed]  [PMC free article]
  11. Yue F, Yang X, Liu N, Liu R, Zhang H. Prenatal diagnosis and pregnancy outcomes in fetuses with ventriculomegaly. Front Med (Lausanne). 2024;11:1349171. doi:10.3389/fmed.2024.1349171.  [CrossRef]  [PubMed]  [PMC free article]
  12. Hannon T, Tennant PW, Rankin J, Robson SC. Epidemiology, natural history, progression, and postnatal outcome of severe fetal ventriculomegaly. Obstet Gynecol. 2012;120(6):1345-1353. doi:10.1097/AOG.0b013e3182732b53.  [CrossRef]  [PubMed]
  13. Pagani G, Thilaganathan B, Prefumo F. Neurodevelopmental outcome in isolated mild fetal ventriculomegaly: systematic review and meta-analysis. Ultrasound Obstet Gynecol. 2014;44(3):254-260. doi:10.1002/uog.13364.  [CrossRef]  [PubMed]
  14. Melchiorre K, Bhide A, Gika AD, Pilu G, Papageorghiou AT. Counseling in isolated mild fetal ventriculomegaly. Ultrasound Obstet Gynecol. 2009;34(2):212-224. doi:10.1002/uog.7307.  [CrossRef]  [PubMed]
  15. Damaj L, Bruneau B, Ferry M, et al. Pediatric outcome of children with the prenatal diagnosis of isolated septal agenesis. Prenat Diagn. 2010;30(12-13):1143-1150. doi:10.1002/pd.2628.  [CrossRef]  [PubMed]
  16. Khaladkar SM, Julakanti S, Paidlewar S, Pandey A. Isolated partial absence of the septum pellucidum: a case report. Cureus. 2024;16(8):e67604. doi:10.7759/cureus.67604.  [CrossRef]
  17. Bardini R. Isolated, absent cavum septum pellucidum: A single center's outcomes and review of the literature [dissertation]. Houston: Texas Medical Center; 2021. https://digitalcommons.library.tmc.edu/utgsbs_dissertations/1097/
  18. Borkowski-Tillman T, Garcia-Rodriguez R, Viñals F, et al. Agenesis of the septum pellucidum: prenatal diagnosis and outcome. Prenat Diagn. 2020;40(6):674-680. doi:10.1002/pd.5663.  [CrossRef]  [PubMed]
  19. Liu Z, Han J, Fu F, et al. Outcome of isolated enlarged cisterna magna identified in útero : experience at a single medical center in mainland China. Prenat Diagn. 2017;37(6):575-582. doi:10.1002/pd.5046.  [CrossRef]  [PubMed]
  20. Zimmer EZ, Lowenstein L, Bronshtein M, Goldsher D, Aharon-Peretz J. Clinical significance of isolated mega cisterna magna. Arch Gynecol Obstet. 2007;276(5):487-490. doi:10.1007/s00404-007-0369-6.  [CrossRef]  [PubMed]
  21. Dror R, Malinger G, Ben-Sira L, Lev D, Pick CG, Lerman-Sagie T. Developmental outcome of children with enlargement of the cisterna magna identified in utero. J Child Neurol. 2009;24(12):1486-1492. doi:10.1177/0883073808331358.  [CrossRef]  [PubMed]
  22. Kim O, Hong S, Jung YM, et al. Prenatal diagnosis and clinical outcomes of isolated mega cisterna magna. J Child Neurol. 2024;39(13-14):481-486. doi:10.1177/08830738241282037.  [CrossRef]  [PubMed]
  23. Di Nora A, Costanza G, Pizzo F, et al. Gray matter heterotopia: clinical and neuroimaging report on 22 children. Acta Neurol Belg. 2022;122(1):153-162. doi:10.1007/s13760-021-01774-3.  [CrossRef]  [PubMed]  [PMC free article]
  24. Severino M, Geraldo AF, Utz N, et al. Definitions and classification of malformations of cortical development: practical guidelines. Brain. 2020;143(10):2874-2894. doi:10.1093/brain/awaa174.  [CrossRef]  [PubMed]  [PMC free article]
  25. Oegema R, Barakat TS, Wilke M, et al. International consensus recommendations on diagnostic work-up for malformations of cortical development. Nat Rev Neurol. 2020;16(11):618-635. doi:10.1038/s41582-020-0395-6.  [CrossRef]  [PubMed]  [PMC free article]
  26. Angulo-Maldonado M, Lara-Sarabia O, Cadena-Bonfanti A, Ulloa-Piza A. X-linked hereditary periventricular nodular heterotopia. Neurologia (Engl Ed). 2022 Apr;37(3):232-234. doi: 10.1016/j.nrleng.2021.05.005.  [CrossRef]  [PubMed]
  27. Yeh HR, Park HK, Kim HJ, et al. Neurodevelopmental outcomes in children with prenatally diagnosed corpus callosal abnormalities. Brain Dev. 2018;40(8):634-641. doi:10.1016/j.braindev.2018.04.012.  [CrossRef]  [PubMed]
  28. Moradi B, Taherian R, Tahmasebpour AR, et al. Fetal corpus callosum abnormalities: ultrasound and magnetic resonance imaging role. J Clin Ultrasound. 2022;50(7):989-1003. doi:10.1002/jcu.23212.  [CrossRef]  [PubMed]
  29. D'Ambrosio V, Boccherini C, Manganaro L, et al. Hypoplasia of the corpus callosum: a single center experience and concise literature review. Fetal Pediatr Pathol. 2021;40(6):626-637. doi:10.1080/15513815.2020.1723148.  [CrossRef]  [PubMed]
  30. D'Antonio F, Pagani G, Familiari A, et al. Outcomes associated with isolated agenesis of the corpus callosum: a meta-analysis. Pediatrics. 2016;138(3):e20160445. doi:10.1542/peds.2016-0445.  [CrossRef]  [PubMed]
  31. Martinez-Lage JF, Sola J, Casas C, Poza M, Almagro MJ, Girona DG. Atretic cephalocele: the tip of the iceberg. J Neurosurg. 1992;77(2):230-235. doi:10.3171/jns.1992.77.2.0230.  [CrossRef]  [PubMed]
  32. Pejic M, Luecke K, Meoded A, et al. Pediatric cephaloceles: a multimodality review. Appl Radiol. 2020;49(5):26-33.  [CrossRef]  [PubMed]
  33. Lau WL, Yung WY, Leung WC, Kan A, Chan K, Luk HM, Kan E, Lam YY. Prenatal diagnosis of familial atretic encephalocele. Ultrasound Obstet Gynecol. 2019 Aug;54(2):277-279. doi: 10.1002/uog.20109  [CrossRef]  [PubMed]
  34. Leykamm S, Wessling B, Mühlenbruch G. Atretic cephalocele and associated anomalies in a newborn child. Clin Neuroradiol. 2013;23(1):37-40. doi:10.1007/s00062-011-0067-4.  [CrossRef]  [PubMed]



DOI: https://doi.org/10.7199/ped.oncall.2027.25

Cite this article as:
Lopes M G, Figueiredo B, Tavares C F, Carvalho M, Henriques R. Central Nervous System Malformations: A Five-Year Retrospective Study. Pediatr Oncall J. 2026 Mar 17. doi: 10.7199/ped.oncall.2027.25
Creative Commons License This work is licensed under a Creative Commons Attribution-NonCommercial-ShareAlike 4.0 International License
Disclaimer: The information given by www.pediatriconcall.com is provided by medical and paramedical & Health providers voluntarily for display & is meant only for informational purpose. The site does not guarantee the accuracy or authenticity of the information. Use of any information is solely at the user's own risk. The appearance of advertisement or product information in the various section in the website does not constitute an endorsement or approval by Pediatric Oncall of the quality or value of the said product or of claims made by its manufacturer.
0 0 0 0 0 0 0 0 0 0 0 0 0 0 0 0 0