Menon Narayanankutty Sunilkumar1, Sasikumar2, Narendran Gayathrivarma1, Vadakut KrishnanParvathy1.
1Department of Pediatrics, Amala Institute of Medical Sciences, Thrissur, Kerala, India, 2Department of Paediatric Surgery, Amala Institute of Medical Sciences, Thrissur, Kerala, India.
ADDRESS FOR CORRESPONDENCE Dr Menon Narayanankutty Sunilkumar, Associate Professor,Department of Pediatrics,Amala Institute of Medical Sciences, Amala Nagar, Thrissur-680 555, Kerala, India. Email: sunilsree99@yahoo.co.in Show affiliations | | Abstract | | Xanthogranulomatous pyelonephritis (XGP) is a form of chronic bacterial pyelonephritis characterized by the destruction of renal parenchyma and the presence of granulomas, abscesses and collections of lipid filled macrophages (foam cells). This condition is mainly found in young and middle aged women. Though there are reports regarding its prevalence, its occurrence is very rare in childhood. We present a case of XGP in a 2 months old infant. | | | | Keywords | | Xanthogranulomatous pyelonephritis, renal mass, urinary tract infection, foamy histiocytes, nephrectomy | | | | Introduction | Xanthogranulomatous pyelonephritis (XGP) is a severe, atypical form of chronic renal parenchymal infection. This rare chronic destructive granulomatous process has association with long-term urinary tract infection with E. coli and P. mirabilis. (1) The symptoms are often vague and non-specific. Most of the cases were presented with pseudotumor, a right renal mass. (2) It is frequently misdiagnosed as other, more common diseases that cause focal or diffuse renal masses, including renal neoplasms and abscesses. (1)
Although, XGP has characteristic findings on ultrasonography and computer tomography (CT) scan, a clinical diagnosis is seldom possible. Definite clinical diagnosis is made on exploration, by the presence of dense adhesions to the surrounding tissue and presence of pus in the kidney. The renals are laden with nodular and streaky granulomatous tissue-replacing infiltrates containing many lipid-laden macrophages (foam cells) that impart a yellowish-tan appearance to the tissue.This is a striking feature on macroscopic appearance of the kidneys. (1) In this case study, we report a case of XGP in a 2 months old female infant. | | | | Case Report | A 2 months old infant with normal antenatal history, birth weight of 3.6 kg, presented with fever of 2 weeks duration. The child had a weight of 3.5 kg, was clinically pale and had a non tender mass palpable in the right lumbar and hypochondrial region. Systemic examination was otherwise normal. Hemogram revealed hemoglobin 9.3 g/dl; packed cell volume (PCV) 29.2%; total count 25,900/cumm (neutrophils 64.6%; lymphocytes 25%; eosinophils 1%), ESR 76 mm at end of 1 hour, platelets 210000/cumm. Urine examination showed pus cells 20-25/hpf. Urine culture grew E. coli and Klebsiella species (more than 105CFU/ml). Renal (serum urea 23 mg/dl; creatinine 0.8 mg/dl) and liver function tests were normal. Ultrasonogram revealed a hypoechoic mass lesion replacing the right kidney while the left kidney was normal. Further, examination by CT with contrast of the abdomen showed 6.74 × 5.6 × 4.5 cm sized heterogeneous mass lesion arising from the anterior aspect of the mid and lower poles of the right kidney, appeared to push renal parenchyma anteriorly (Fig 1A and B). It was abutting the right lobe of the liver anteriorly and displacing the small bowel loops anteromedially. There was evidence of loss of fat planes at places. Radiographic examination suggested the possibility of mesoblastic nephroma or Wilm’s tumour of the right kidney. The patient was stabilized by treating for the urinary tract infection and a transperitoneal right nephrectomy was done. Per-operatively, the mass was arising from the right kidney, infiltrating the undersurface of liver, posterior aspect of diaphragm, posterior parietal wall and densely adherent to colon and mesentery. Infiltrations to contiguous structures were also removed along with the kidney and diaphragm repaired after excising the segment infiltrated by the mass (Fig 2A). Nephrectomy specimen was subjected to histopathological analysis. Cross section analysis showed ill circumscribed mass 4.2 x 4.2 x 4 cm which is grey white, firm in consistency with myxoid areas, having the yellowish appearance and areas of necrosis (Fig 2B) whereas microscopic analysis revealed, inflammatory infiltrate in renal glomeruli and tubules with areas of abundant and extensive fibrosis. Renal parenchyma was replaced by granulomatous inflammatory infiltrates composed of foamy histiocytes, a few multinucleated giant cells and a mixture of lymphocytes, histiocytes, plasma cells and neutrophils (Fig 2C and D). The inflammatory process extended to the appendix, liver and diaphragm along with adrenal hemorrhage. Liver tissue showed partial loss of architecture with infiltration of inflammatory infiltrates into the liver parenchyma accompanied by extensive fibrosis. The child was treated for the urinary tract infection and was found to be hypertensive, which was resolved with supportive treatment and discharged. Since then she was under regular follow-up and had 2 admissions following bronchiolitis. Her renal functions were monitored and found normal. She is now 1 year and 1 week old with weight of 6.9 kg and attained her mile stones of development normally.
Figure 1A and B: CT showed heterogeneous mass lesion arising from the anterior aspect of the mid and lower poles of the right kidney (marked X), abutting the right lobe of the liver anteriorly and displacing the small bowel loops anteromedially. The mass appeared to push renal parenchyma anteriorly with evidence of loss of fat planes at places.
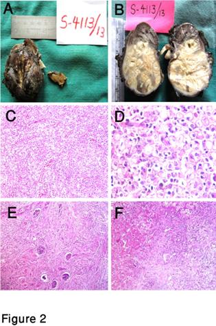
Figure 2A: Nephrectomy specimen with attached segment of ureter, adrenal and adherent appendix; 2B) Cross section of specimen showed the mass which is grey white, firm in consistency with myxoid areas, having the yellowish appearance and areas of necrosis; 2C) and 2D) Photomicrographs of nephrectomy specimen (stained by H&E) showing renal parenchyma replaced by a granulomatous inflammatory infiltrate composed of foamy histiocytes, a few multinucleated giant cells and a mixture of lymphocytes, histiocytes, plasma cells and neutrophils (10x and 40x); 2E) Entrapped renal glomeruli and tubules noted in between the inflammatory infiltrate and areas of abundant and extensive fibrosis seen (10x); and 2F) Liver tissue showing partial loss of architecture with infiltration of inflammatory infiltrates into the liver parenchyma accompanied by extensive fibrosis (10x).
 | | | | Discussion | Xanthogranulomatous pyelonephritis (XGP) is a severe, atypical form of chronic renal parenchymal infection described in 1916 by Schlagenhaufer. (1) It is a rare entity in early infancy. The earliest age of presentation reported so far ranges from 21 days in English literature (3)and 48 days in Japanese literature. (4) XGP mainly occurs in adults with preponderance in females of younger age groups. The exact etiology of XGP is not known, but there is a general acceptance that a combination of long-term renal obstruction and infection is responsible for the process. (1,5) It usually involves single kidney. Defect in the degradation of bacteria in the macrophages, especially when added infection and/or obstruction by stones in 2/3 of cases can be suggested as the risk factors. (1,5) Since, association with renal stones and concomitant infection with bacteria such as E. coli, Proteus mirabilis, Klebsiella spp, Staphylococcus aureus, Enterococcus spp, Pseudomonas spp, Streptococcus spp, including anaerobic organisms (5), the use of antibiotics does not resolve the problem. (6)
XGP is characterized as destruction of parenchyma, and accumulation of lipid laden macrophages (histiocytes sparkling) which surround abscess cavities or present as discrete yellow nodules. (1) The symptoms are often vague and non-specific and present as abdominal masses. Most of the children present with symptoms of chronic infection, like recurrent fever, weight loss, pallor and failure to thrive etc. (1,6) Upasani et al reported a case of 40 days old male child presented with excessive crying, fever and failure to thrive. The child was clinically pale and had a lump in the right flank which was ballotable and bimanually palpable. Systemic examination was otherwise normal, although the symptoms and the palpable lump was present since 1 month of age. (7) In this case also, the baby had prolonged fever and bimanually palpable lump was present in the lumbar region. Our infant also had hypertension initially which settled with treatment given. Discharging flank sinus, hematuria and hypertension either at initial presentation or at follow-up are uncommonly reported features. (8)
XGP should be included in the differential diagnosis of all children presenting with perirenal or psoas abscess, renal mass and/or non-functioning kidney associated with/or without urolithiasis. Its manifestations mimic those of neoplasia (mesoblastic nephroma, Wilm’s tumor) and other chronic inflammatory renal parenchymal diseases including tuberculosis. As a result it is often misdiagnosed clinically. (1,5,8) In this child, initial ultrasonography suggested a suspected nephroblastoma. Computed tomography (CT) is the ideal diagnostic method. It determines the extent of parenchymal involvement, as well as its size and association with extra renal neoplasia. Pre-operative diagnosis is possible only in 40% cases even with CT and magnetic resonance imaging (MRI). (9) The final diagnosis is made by histopathological examination. (1,6)
Both diffuse and focal forms of the disease have been reported, with the diffuse form being more common. (1,6,9) In this report, our baby had diffuse type of XGP involving only right kidney. Complete nephrectomy is the proper treatment for diffuse form whereas, frozen section biopsies followed by partial nephrectomy are mandatory for the focal disease. (10) Traditional treatment involves radical nephrectomy with or without adjunctive antibiotic therapy because symptomatically and preoperative imaging cannot reliably distinguish XGP from neoplastic processes. However, nephrectomy is challenging because of the dense inflammatory process surrounding the kidney. (11) Though initial studies recommended against laparoscopic nephrectomy for XGP, recently it has been employed successfully by Guzzo et al. (12) Brown et al demonstrated a case of a six-year-old female child with XGP that was successfully treated by laparoscopic nephrectomy with minor complications. The safety and feasibility of this laparoscopic nephrectomy for childhood XGP was recommended. (13) In our case, the child was subjected to right nephroureterectomy and the procedure was challenging because of the dense inflammatory process from the right kidney and infiltrating the undersurface of liver, diaphragm, posterior parietal wall and densely adherent to colon and mesentery.
The prognosis is considered to being good, when the affected kidney is removed. (1,12) No recurrence of XPG in the contra lateral kidney has yet been reported. (6)Our case of XGP, made an uneventful recovery and continues to do well 1 year postoperative as observed in other studies. (6-8)
| | | | Conclusion | | XGP should be in the differential diagnosis of a pediatrician and anybody dealing the abdominal masses and urinary tract infection in children. As the prognosis in adequately treated XGP is quite good, a clinical awareness and a high index of suspicion is required to achieve the correct preoperative diagnosis and appropriate management. | | | | Compliance with Ethical Standards | | Funding | | None | | | | Conflict of Interest | | None | | |
- Brown PS, Dodson M, Weintrub PS. Xanthogranulomatous Pyelonephritis: Report of Nonsurgical Management of a Case and Review of the Literature. Clin Infect Dis. 1996;22:308–314. [CrossRef]
- Zia-ul-Miraj M, Cheema MA.Xanthogranulomatous pyelonephritis presenting as a pseudotumor in a 2-month-old boy.J Pediatr Surg. 2000;35:1256-1258. [CrossRef]
- Youngson GG, Gray ES. Neonatal xanthogranulomatous pyelonephritis.Br J Urol 1990;65:541–542. [CrossRef]
- Yazaki T, Ishikawa S, Ogawa YTakahashi S, Nemoto S, Rinsho K, et al. Xanthogranulomatous pyelonephritis in childhood: case report and review of English and Japanese literature.J Urol 1982;127:80–83 [CrossRef]
- Leoni AF, Kinleiner P, Revol M, Zaya A, Odicio A. Xanthogranulomatous Pyelonephritis: Review of 10 cases. Arch Esp Urol. 2009;62:259–271. [CrossRef]
- Watson AR, Marsden HB, Lendon M,Jones PH. Renal pseudotumours caused by xanthogranulomatous pyelonephritis.Arch Dis Child 1982;57:635–637. [CrossRef]
- Upasani A, Panwar JB, Chandna S, Patel D. Xanthogranulomatous pyelonephritis in early infancyBMJ Case Rep. 2012; 2012.
- Sharma A, Rattan KN, Arora BB, Nanda S.Xanthogranulomatous pyelonephritis in children. Indian J Urol 2000;16:153–154.
- Subramanyam BR, Megibow AJ, Raghavendra BN, Bosniak MA.Diffuse xanthogranulomatous pyelonephritis: analysis by computed tomography and sonography.Urol Radiol 1982;4:5–9. [CrossRef]
- Bingol-Kologlu M, Ciftçi AO, Senocak ME, Tanyel FC, Karnak I, Büyükpamukçu N. Xanthogranulomatous pyelonephritis in children: diagnostic and therapeutic aspects. Eur J Pediatr Surg. 2002;12:42-48 [CrossRef]
- Eastham J, Ahlering T, Skinner E. Xanthogranulomatous pyelonephritis: clinical findings and surgical considerations. Urology. 1994;43:295–299. [CrossRef]
- Guzzo TJ, Bivalacqua TJ, Pierorazio PM, Varkarakis J, Schaeffer EM, Allaf ME. Xanthogranulomatous pyelonephritis: presentation and management in the era of laparoscopy. BJU International.2009;104:1265–1268 [CrossRef]
- F Brown J, Chamberlain JC, Roth CC.The role of laparoscopic nephrectomy in pediatric xanthogranulomatous pyelonephritis: a case report. Case Rep Urol. 2013;2013:598950. [CrossRef]
DOI: https://doi.org/10.7199/ped.oncall.2014.49
|
| Cite this article as: | | Sunilkumar M N, S, Gayathrivarma N, KrishnanParvathy V. Xanthogranulomatous Pyelonephritis in a 2 month Old Infant-Case Report. Pediatr Oncall J. 2014;11: 77-79. doi: 10.7199/ped.oncall.2014.49 |
|