| Discussion :
 
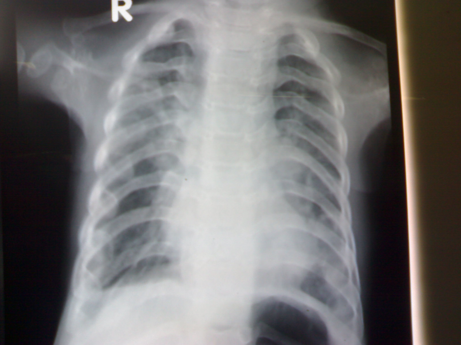
  The chest roentgenogram reveals narrow thorax, broad, short and horizontal ribs and highly placed clavicle. The distal ends of ribs were widened and club-shaped and do not extend beyond the anterior axillary line. Diagnosis is Jeune syndrome or asphyxiating thoracic dystrophy. It is a rare autosomal recessive skeletal disorder characterized by a small thorax, short limbs, pelvic abnormalities {hypoplastic iliac wing}, and renal anomalies {1}. It has a varied clinical spectrum of manifestations. The disease is fatal to affected infants in early childhood in 70 percent of cases, mostly due to asphyxia secondary to a small thoracic cage. All have small chests clinically, but the degree of respiratory distress varies from negligible to rapidly lethal {2,3}. Occasional abnormalities include polydactyly, pancreatic fibrosis, situs inversus and deformed teeth {1}. Treatment is mainly supportive although authors have reported utility of lateral thoracic expansion {4}. Because the disease is inherited with an autosomal recessive pattern, there is 25 percent chance of recurrence in the subsequent pregnancy {1}. Genetic counseling and prenatal diagnosis may be offered in selected cases. 
 References:
 1. ASPHYXIATING THORACIC DYSTROPHY 1`-, ATD1 Online Mendelian Inheritance in Man. OMIM {TM}. McKusick-Nathans Institute for Genetic Medicine, John Hopkins University {Baltimore, MD} and National Center for Biotechnology Information, National Library of Medicine {Bethesda, MD}
 2. Giorgi PL, Gabrielli O, Bonifazi V, Catassi C, Coppa GV. Mild form of Jeune syndrome in two sisters. Am J Med Genet. 1990, 35: 280-282.
 3. Majewski E, Oztürk B, Gillessen-Kaesbach G. Jeune syndrome with tongue lobulation and preaxial polydactyly, and Jeune syndrome with situs inversus and asplenia: compound heterozygosity Jeune-Mohr and Jeune-Ivemark___? Am J Med Genet. 1996, 63: 74-79
 4. Davis JT, Heistein JB, Castile RG, Adler B, Mutabagani KH, Villalobos RE, et al.  Lateral thoracic expansion for Jeune`s syndrome: midterm results. Ann Thorac Surg. 2001, 72: 872-877` discussion 878.
 
 E-published: July 2009 Vol 6 Issue 7 Art # 40
 | 
    
	| 
  | Correct Answers : |  7% | 
 Last Shown : Jun 2009
 |