Spot Diagnosis

Congenital Diaghragmatic Hernia

Emmanuel Onyekwelu
Department of Paediatrics, Royal Victoria Teaching Hospital Independence Drive, Banjul The Gambia

Address for Correspondence: Emmanuel Onyekwelu, Department of Paediatrics, Royal Victoria Teaching Hospital Independence Drive, Banjul The Gambia.
Email: euonyekwelu@hotmail.com
Question :
Spot Diagnosis



What is the diagnosis?

Discussion :
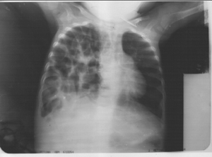
Chest radiograph reveals an anterior parasternal hernia with multiple air filled spaces with haustrations suggestive of intestinal loops within the right hemi-thorax suggestive of Congenital diaphragmatic hernia {CDH}. It is characterized by an incomplete formation or fusion, muscularization of the diaphragm resulting in apparent absence of the diaphragm or eventeration. The three basic types of CDH include the posterolateral Bochdalek hernia {occurring at approximately 6 weeks gestation}, the anterior Morgagni hernia and the hiatus hernia. Cryptogenic congenital diaphragmatic hernias has been a cause of sudden deaths in the early months of life. Mortality is significant at 50 percent depending on the other associated malformations. Associated high mortality rates which have not improved significantly despite advanced novel aggressive intensive perinatal and infantile interventions, are related directly to co-existent pulmonary hypoplasia or intractable persistent pulmonary hypertension, which are usually recalcitrant. Advanced novel therapies for CDH have included delayed operation, extracorporeal membrane oxygenation {ECMO}, high frequency oscillatory ventilation {HFOV}, surfactant ,and inhaled Nitric Oxide {INO} therapy. However,the effects of these modalities in terms of proffering a statistically significant survival advantages in neonates with CDH have not
been clearly determined. Surgical intervention of these defects is almost always indicated. This child in addition had hepatitis and multicystic kidney.

E-published: May 2009, Vol 6, Issue 5, Art # 28

Correct Answers : yes  55%

Last Shown : May 2009
 
Disclaimer: The information given by www.pediatriconcall.com is provided by medical and paramedical & Health providers voluntarily for display & is meant only for informational purpose. The site does not guarantee the accuracy or authenticity of the information. Use of any information is solely at the user's own risk. The appearance of advertisement or product information in the various section in the website does not constitute an endorsement or approval by Pediatric Oncall of the quality or value of the said product or of claims made by its manufacturer.
0 0 0 0 0 0 0 0 0 0 0 0 0 0 0 0 0