A male child was referred to a Pediatric Nephrology consultation due to left kidney agenesis, which was initially suspected during the fetal period and later confirmed by an ultrasound and a Tc-99m dimercaptosuccinic acid renal scan performed at 1 month of age. The scan revealed a single functioning right kidney with normal morphology and function. Regular follow-up was maintained and in the absence of urinary symptoms, hypertension or microalbuminuria, emphasis was placed on promoting healthy lifestyle habits.
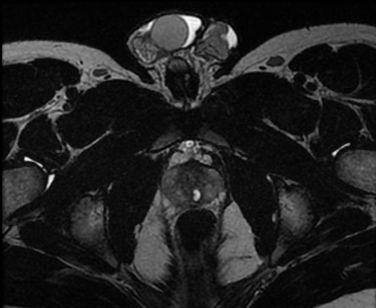
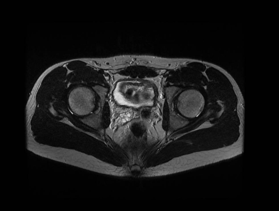
At age 16, a follow-up ultrasound identified asymmetry in the seminal vesicles, indicating congenital agenesis of the left seminal vesicle. Suspecting Zinner syndrome, an abdominal-pelvic magnetic resonance imaging (MRI) was performed, confirming left renal agenesis (Figure 1), ipsilateral agenesis of the seminal vesicle (Figure 2) along with a periurethral cyst (Figure 3) and a hypotrophic left testicle, thus confirming the diagnosis. The patient reported no abdominal, pelvic or testicular pain and no lower urinary tract symptoms. Clinical, imaging and laboratory follow-up were maintained, with the patient remaining asymptomatic throughout and retaining a glomerular filtration rate within the normal ranges.
At 18 years, upon reaching the maximum age for pediatric healthcare, the patient was referred to a Urology consultation for ongoing follow-up and fertility evaluation.
Figure 1. Coronal T2-weighted MRI of the abdomen demonstrating agenesis of the left kidney, with compensatory hypertrophy of the right kidney.
Figure 2. Axial T2-weighted MRI of the pelvis demonstrating agenesis of the left seminal vesicle.
Figure 3. Axial T2-weighted MRI of the pelvis demonstrating a periurethral cyst.

What is Zinner Syndrome?