Brain Malformations

Dr. Ira Shah
Consultant Pediatrician, B.J.Wadia Hospital for Children, Mumbai, India
First Created: 04/17/2001  Last Updated: 08/01/2015

Patient Education

What are various abnormalities of the brain?

There are several abnormalities of the brain that can occur in a child. Some may be present right from birth such as neuronal heterotopia, lissencephaly (pronounced as lis-n-kaph-a-lee), pachygyria, schizencephaly (pronounced as she-zen-kaph-a-lee), agenesis of corpus callosum holoprosencephaly, and anencephaly. Some abnormalities of the brain can occur over a period of time such as microcephaly, craniosynostosis (pronounced as cray-ni-o-sin-os-toe-cis), porencephaly, and macrocephaly.

What is neuronal heterotropia?

The brain cells are called neurons when the brain is developing in the fetus, (baby in the womb) these neurons migrate towards the periphery of the brain. When these neurons are unable to migrate, they remain within the substance of the brain. Heterotopias can lead to fits and learning disabilities.

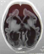
What is lissencephaly?

The normal brain is shaped like a walnut with creases (known as gyri) and crevices (known as sulci). When there is an absence of sulci and gyri, it is known as lissencephaly. The surface of the brain thus appears smooth. In most patients, why lissencephaly occurs is not known but in 15-20%, a genetic cause in chromosome 17 is suspected. Patients have mental retardation and seizures.

Figure 1: Lissencephaly


brain-malformations

What is pachygyria?

Normally, the gyri and sulci in the brain are at typical distances. When Syria is widened, it is called as pachygyria. Patients have stiff limbs, mental retardation, and fits.

What is schizencephaly?

When there is a cleft in the brain either on one side or on both sides, it is called schizencephaly. Patients have mental retardation.

What is agenesis of corpus callosum?

There is a structure in the brain called the corpus callosum. The absence of the corpus callosum is called agenesis of the corpus callosum. Patients may have varied presentations. Most of the patients have no symptoms whereas few may have fits (seizures) to mental retardation. Patients may have associated brain anomalies such as genetic syndromes, hydrocephalus, and neuronal heterotopias.

Figure 2: Absence of corpus callosum (typical bat wing appearance)


brain-malformations

What is porencephaly?

The presence of cysts or cavities in the brain is called porencephaly. This may be present right from birth or may occur post-trauma or surgery. Patients may have delayed development.

Figure 3: Porencephalic cyst


brain-malformations

What are other brain malformations?

Just as malformations can occur in the brain, other malformations can occur in the spine and spinal cord such as meningocele, meningomyelocele, and spina bifida.

What is encephalocele?

Encephalocele (pronounced as N-ceph-a-low-seal) is a condition where the brain, or its outer lining - the meninges protrude out due to a defect in the skull bone. Patients have a fluctuant swelling over the skull. Depending on the part of the brain that is involved, patients may have visual problems, seizures, or mental retardation. If only meninges are protruding, the prognosis is good.

What is anencephaly?

Anencephaly (pronounced as N-N-ceph-a-lee) is a fatal brain malformation in which the brain lobes are absent. An infant is born with a defect in the skull bones with a soft rudimentary brain seen from the defect. Most infants are stillborn or die shortly after birth. The commonest cause of anencephaly is Folic Acid deficiency and if the mother takes a folic acid supplement during pregnancy, the risk significantly decreases.

What is holoprosencephaly?

Holoprosencephaly (pronounced as holo-pro-zen-ceph-a-lee) is a condition in which the brain fails to divide into two lobes and only a single lobe is present. This condition is common in patients with genetic syndromes. Most patients have severe delayed development, spasticity, and seizures.

Figure 4: Holoprosencephaly


brain-malformations

What is megelencephaly?

A large brain is called megalencephaly. A large head is called macrocephaly. A large head does not necessarily mean a large brain. A large head can occur due to a variety of causes such as the large brain, an increase in fluid in the brain (hydrocephalus), or due to bleed in the head. Megelencephaly occurs with various genetic disorders in which abnormal substance is stored in the brain such as in Canavan and Alexander leukodystrophy. Sometimes large brains can run in families without any pathological abnormality. In patients with genetic disorders and a large head, they can have seizures and mental retardation.

What is the treatment of brain malformations?

Most of the brain malformations cannot be corrected as they are due to the abnormal development of the brain. Seizures will be controlled by anti-fit medications and spasticity will require physiotherapy. Conditions such as spina bifida and encephalocele can be treated surgically whereby the skull defect or spine defect is closed and the brain or spinal cord is pushed back into space it occupies. However, prognosis would depend on the amount of brain damage that is already present.


Brain Malformations Brain Malformations https://www.pediatriconcall.com/show_article/default.aspx?main_cat=pediatric-neurology&sub_cat=brain-malformations&url=brain-malformations-patient-education 2015-08-01
Disclaimer: The information given by www.pediatriconcall.com is provided by medical and paramedical & Health providers voluntarily for display & is meant only for informational purpose. The site does not guarantee the accuracy or authenticity of the information. Use of any information is solely at the user's own risk. The appearance of advertisement or product information in the various section in the website does not constitute an endorsement or approval by Pediatric Oncall of the quality or value of the said product or of claims made by its manufacturer.
0 0 0 0 0 0 0 0 0 0 0 0 0 0 0 0 0